Finding breast cancer patterns with machine learning

At a glance
We partnered with the American Cancer Society and Google to use machine learning to discover patterns in breast cancer tissues.
Impact
Now, the American Cancer Society is set up to discover insights that could help prevent and treat breast cancer. The organization is also equipped to use machine learning to analyze other types of cancers in the future.
Key Services
Industry
Healthcare Association
Key Technologies / Platforms
- Google Cloud
Remembering a friend and teammate
In 2021, one of Slalom’s consultants—someone who was passionate about technology and helping others—passed away from cancer. To honor him, Slalom reached out to the American Cancer Society (ACS) to see if, and how, a team of Slalom consultants could help further ACS’s mission of freeing the world from cancer.
Dr. Mia Gaudet, Scientific Director of Epidemiology Research, leads the breast cancer research group at ACS. When she heard that Slalom was offering to help, and that we’d suggested introducing ACS to machine learning, she had a project in mind.
Searching for clues
In 1992, ACS began a breast cancer cohort study of 184,000 women and men across the US as part of its Cancer Prevention Study II (CPS-II)—one of the largest cancer studies of all time. When ACS recruited the participants, they gave a baseline questionnaire that covered topics like personal and family health history, use of medications and vitamins, reproductive history, occupational exposures, diet, and exercise habits.
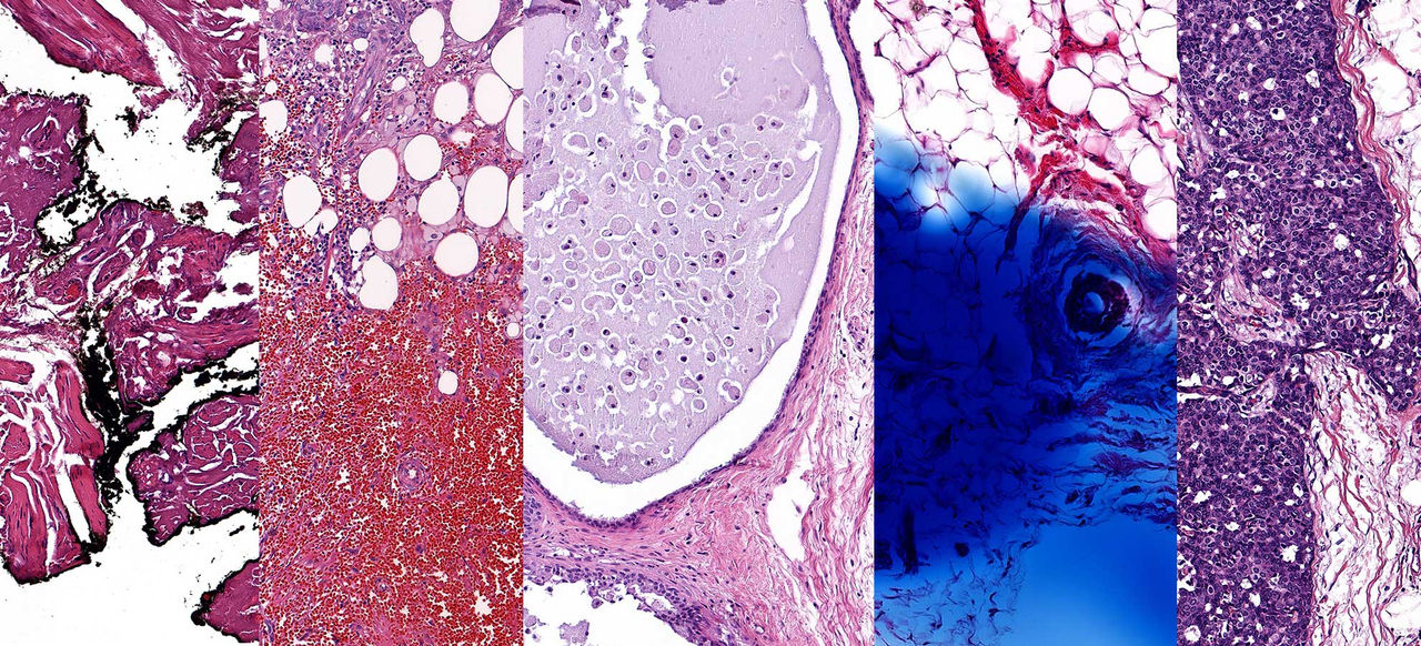
Every two years, ACS sent participants a follow-up questionnaire, and if someone reported that they had breast cancer, their hospital would send tumor samples to ACS. The samples were made by soaking the removed tumor in a solution that stops cellular activity, putting it in a block of wax, taking a very thin slice out of the block, staining the slice to show the different parts of the cells, and then putting the slice in a glass slide.
Since the study began, ACS has collected over 1,700 slides from women diagnosed with breast cancer. These slides can provide critical clues to help prevent and treat breast cancer—but identifying those clues was a challenge.
What can a machine see that a person can’t?
Most pathologists—doctors who specialize in identifying abnormalities in tissues—work in clinical care, so they’re in high demand in the research world. At ACS, there’s only one pathologist on the breast cancer research team, part-time. He spends the rest of his time with other duties at ACS.
“Imagine how long it takes someone to look at those 1,700 images one by one,” says Michelle Yi, Slalom solution principal. “We wanted to be able to scale that work with machine learning.”
There are also certain patterns in the tissue that the human eye can’t see, even under a microscope. And “pathology, in many ways, is an art,” says Gaudet. “Certainly, pathologists are able to tell the difference between cancer and not cancer, but there’s a lot of variability in how they evaluate some of the nuances of cancer.” Machine learning can minimize any variability in analysis.
We knew we wanted to create a reusable, scalable machine learning model on the cloud. So we reached out to our Google partners to see if they’d be interested in working with us. They agreed enthusiastically, and helped fund the project.

First, we converted all the tissue images from their proprietary format into a standard TIFF format and saved them on Google Cloud. Now, the images can be analyzed by a machine, and if anything ever happens to the physical slides, the data won’t be lost.
The next step was to scrub the tissue slides of any inconsistencies that could skew the analysis. A lot has changed since 1992 in terms of how pathologists treat the slides. In the 90s, pathologists mixed the tissue dye by hand, which means there’s been a lot of color variations in the slides over the years. “We had some slides that were a light pink and some that were a dark purple,” says Gaudet. Also, some pathologists would write directly on the slides with Sharpies, circling a tumor or making notes.
Showing us what we don’t know
Once we flagged and filtered out any irrelevant markings or coloring, we were able to set up unsupervised machine learning. We told the machine to identify patterns in the tiles and create 10 clusters. Clustering is when the machine groups similar patterns, like your phone automatically searching through your photos and creating a photo album of your daughter.
“We fed the computer no information about what it was going to find,” says Gaudet. “We wanted to let it tell us where to go.”
The machine created some clusters that the team understood, like identifying the grade of cancer, which validated that the machines were on track. “But there are also new patterns that we’re not yet unable to understand why they were clustered, which was the goal,” says Gaudet. “For example, clusters two and three—well, to my eye they look exactly the same but that’s the whole premise of the project, for the machine to identify differences that the human eye can’t.”
And the time saved is invaluable. “It could have taken a pathologist three years to do what Slalom helped us do in three months,” says Gaudet.
ACS is now analyzing these clusters to discover what the patterns are. Why did the machine group these together? What do they have in common? Are there lifestyle, diet, reproductive factors that are connected to that pattern?
“We’re looking at the clusters that the Slalom team provided us and relating them back to breast cancer survival,” says Gaudet.

The future of cancer research
The Slalom team partnered closely with ACS every step of the way to transfer our machine learning knowledge and train Gaudet’s team. “I had no training in machine learning,” she says. “And I would say I am not the best with technology overall. But the Slalom team has been awesome about training us and getting us up to speed.”
ACS now has powerful machine learning tools that it can reuse on similar projects. In fact, it plans to use machine learning to analyze other types of cancers.
“This is an extremely hot area in cancer research right now,” says Gaudet. “And Slalom drove us to be able to play in this space where we previously were not. Since we’ve started this collaboration with Slalom, we’ve built other collaborations with academic partners, all due to Slalom getting us on the right track.”
We hope that these machine learning tools will help ACS make a dent in cancer, a disease that took a Slalom colleague and friend—and so many family members and friends—much too soon. “My mother and grandmother both passed away from breast cancer,” says Yi. “Being able to pitch in even a little bit means a lot to me.”
Michelle Yi is no longer with Slalom.